第1章
|
第2章
|
第3章
|
第4章
|
第5章
|
第6章
|
第7章
|
第8章
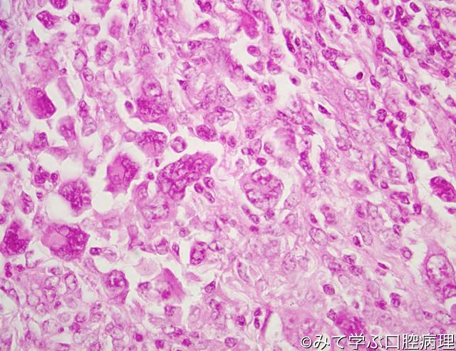
Hodgkinリンパ腫
単核で大きな核小体を持つHodgkin細胞がみえる
大型で多核のReed-Sternberg細胞がみえる
第1章 歯の病変
第2章 歯周組織の病変
第3章 顎骨の病変
第4章 口腔領域の嚢胞
第5章 口腔粘膜の病変
第6章 歯原性腫瘍
第7章 唾液腺の病変
第8章 非歯原性腫瘍
線維腫
乳頭腫
血管腫
リンパ管腫
脂肪腫
神経鞘腫
切断神経腫
骨腫
神経線維腫
線維肉腫
骨肉腫
軟骨肉腫
扁平上皮癌(舌)
扁平上皮癌
早期浸潤癌
口腔癌リンパ節転移
非Hodgkinリンパ腫
Hodgkinリンパ腫
白血病
悪性黒色腫
転移性腫瘍
|
Site Map
| ©2008みて学ぶ口腔病理