第1章
|
第2章
|
第3章
|
第4章
|
第5章
|
第6章
|
第7章
|
第8章
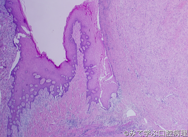
骨肉腫
歯肉粘膜上皮に接して,細胞が密に配列し増殖する線維性腫瘍がみえる(右半分)
第1章 歯の病変
第2章 歯周組織の病変
第3章 顎骨の病変
第4章 口腔領域の嚢胞
第5章 口腔粘膜の病変
第6章 歯原性腫瘍
第7章 唾液腺の病変
第8章 非歯原性腫瘍
線維腫
乳頭腫
血管腫
リンパ管腫
脂肪腫
神経鞘腫
切断神経腫
骨腫
神経線維腫
線維肉腫
骨肉腫
軟骨肉腫
扁平上皮癌(舌)
扁平上皮癌
早期浸潤癌
口腔癌リンパ節転移
非Hodgkinリンパ腫
Hodgkinリンパ腫
白血病
悪性黒色腫
転移性腫瘍
|
Site Map
| ©2008みて学ぶ口腔病理