第1章
|
第2章
|
第3章
|
第4章
|
第5章
|
第6章
|
第7章
|
第8章
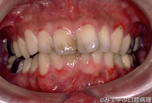
天疱瘡
歯肉の広範囲にびらんがみえる
第1章 歯の病変
第2章 歯周組織の病変
第3章 顎骨の病変
第4章 口腔領域の嚢胞
第5章 口腔粘膜の病変
白板症
扁平苔癬
天疱瘡
類天疱瘡
メラニン色素沈着
色素細胞母斑
口腔結核症
口腔カンジダ症
第6章 歯原性腫瘍
第7章 唾液腺の病変
第8章 非歯原性腫瘍
|
Site Map
| ©2008みて学ぶ口腔病理