第1章
|
第2章
|
第3章
|
第4章
|
第5章
|
第6章
|
第7章
|
第8章
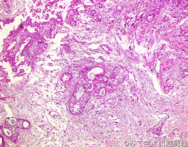
粘表皮癌
管状構造内には粘液が認められる
管状構造内面には細胞質が明るく、核が偏在する粘液産生細胞がみえる
間質に粘液が流出し疎な結合組織が腫瘍細胞間にみえる
第1章 歯の病変
第2章 歯周組織の病変
第3章 顎骨の病変
第4章 口腔領域の嚢胞
第5章 口腔粘膜の病変
第6章 歯原性腫瘍
第7章 唾液腺の病変
唾液腺炎
粘液嚢胞
症候群
壊死性唾液腺上皮化生
多形腺腫
基底細胞腺腫
Warthin腫瘍
筋上皮腫
粘表皮癌
腺様嚢胞癌
第8章 非歯原性腫瘍
|
Site Map
| ©2008みて学ぶ口腔病理