第1章
|
第2章
|
第3章
|
第4章
|
第5章
|
第6章
|
第7章
|
第8章
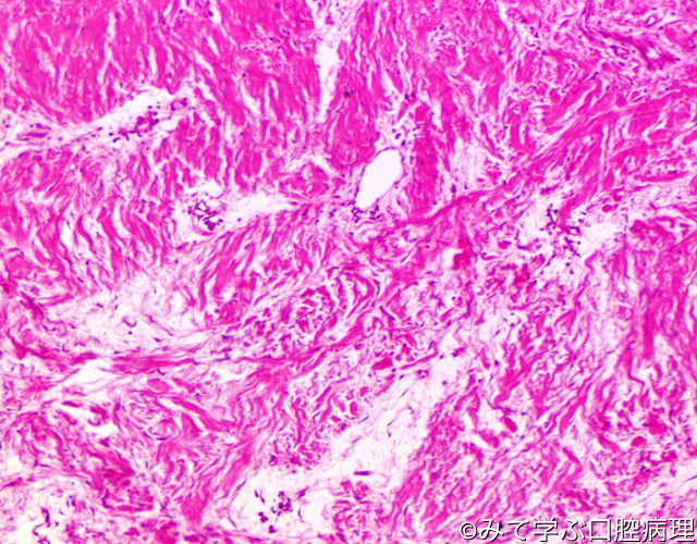
線維性エプーリス
走行不規則な膠原線維がみえる
炎症性細胞の浸潤は極少量である
第1章 歯の病変
第2章 歯周組織の病変
辺縁性歯周炎
肉芽腫性エプーリス
線維性エプーリス
血管腫性エプーリス
骨形成性エプーリス
巨細胞性エプーリス
歯根肉芽腫
歯根嚢胞
歯肉増殖症
第3章 顎骨の病変
第4章 口腔領域の嚢胞
第5章 口腔粘膜の病変
第6章 歯原性腫瘍
第7章 唾液腺の病変
第8章 非歯原性腫瘍
|
Site Map
| ©2008みて学ぶ口腔病理